퇴행성 관절염 환자, O다리 교정술·근위경골절골술 고려해볼만
페이지 정보
본문
![]() |
달리기는 같은 궤적에서 충격이 누적되고, 테니스는 측방 이동과 급정지·급가속이 잦아 내측 관절에 하중이 반복된다. 이 미세 손상이 쌓이면 연골과 연골판이 마모되고, 시간이 지나면서 무게 중심이 안쪽으로 쏠려 다리 축이 휘는 내반 변형, 즉 O다리로 진행하기 쉽다.
퇴행성 관절염은 조용히 진행되는 경우가 많아 초반에는 특별한 증상을 못 느끼다가, 연골이 닳아 뼈끼리 부딪힐 즈음 계단 오르내릴 때 찌르는 통증, 장시간 보행 후 쑤심, 아침에 뻣뻣함 같은 신호로 나타난다.
원인은 나이, 체중 증가뿐 아니라 좌식 생활의 쪼그려 앉기, 양반다리, 무릎 꿇기 청소 등 무릎에 부담이 가는 자세, 러닝 시 뒤꿈치 착지나 테니스의 반복된 런지·트위스트 같은 동작도 관절 자극을 키운다.
퇴행성 관절염은 1기에서 4기까지 진행 단계에 따라 통증 양상이 달라진다. 1기에는 간헐적 통증과 뻣뻣함이, 2기에는 활동 시 통증이 잦고 3기에는 운동 범위 제한과 부종이, 4기에는 뼈 마찰음과 보행 장애가 나타난다.
1기에는 약물치료와 운동치료, 2~3기에는 주사치료를 병행하며 증상 완화를 기대할 수 있다. 스테로이드 주사는 급성 염증에, 히알루론산 주사는 마찰 완화에, PRP 주사는 중기 환자에서 연골 회복 촉진에 도움이 된다. 3~4기로 진행해 구조적 손상이 뚜렷하면 수술을 고려한다.
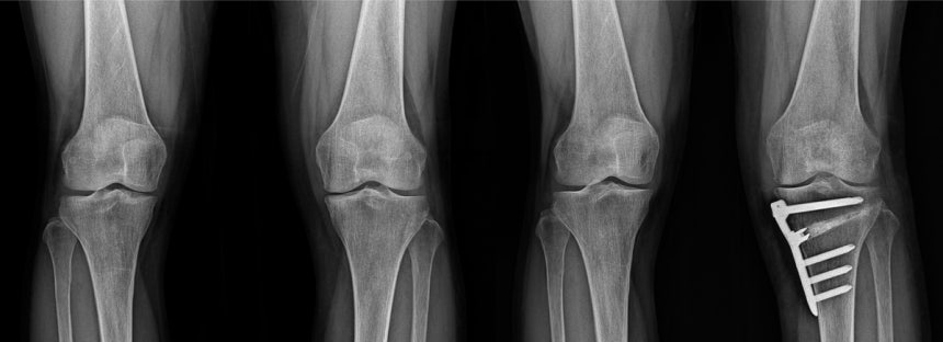
손상이 내측에 국한되고 O다리가 동반된 비교적 젊은 환자라면 인공관절보다 자기 관절을 보존할 수 있는 근위경골절골술이 우선 고려된다.
![]() |
내측 관절염이 2~3기이고, 가쪽 관절과 인대가 비교적 보존된 젊은 환자에게 적합하다. 장점은 자기 관절을 보존해 운동 범위를 유지하고, 러닝·테니스 복귀가 가능하며, 관절염 진행 속도를 늦춰 인공관절 시기를 미룰 수 있다는 것이다.
수술 후에는 재활이 매우 중요하다. 초기에는 부기와 통증 관리, 4~6주까지 보조기와 목발을 착용해 부분 체중부하를 점진적으로 늘린다. 이후 관절 가동 범위를 확장하고, 대퇴사두근·햄스트링·둔근 강화로 안정성을 높인다. 3개월 후 보행 보조 없이 일상 복귀가 가능하며, 6개월 이후 러닝·테니스 복귀를 단계적으로 진행한다.
러닝과 테니스를 계속 즐기려면 퇴행을 늦추는 생활 전략이 필요하다. 러닝은 보폭을 줄이고, 경사·딱딱한 노면을 피하며, 신발을 주기적으로 교체한다. 테니스는 한쪽 방향 회전만 반복하지 않도록 하고, 워밍업 후 운동한다. 체중 감량은 가장 강력한 예방법으로, 1kg만 줄여도 무릎 내측 하중이 크게 줄어든다.
관절이 말기까지 진행돼 통증으로 일상 보행이 힘들다면 인공관절 치환술이 필요하지만, 가능하면 자기 관절을 오래 쓰는 것이 젊은층에는 더 유리하다.
임홍철 서울바른세상병원 관절클리닉 원장은 “러닝과 테니스는 건강에 도움이 되지만 무릎 내측 손상을 방치하면 관절염과 O다리 변형으로 이어질 수 있다”며 “O다리 변형과 내측 손상이 확인되면 근위경골절골술로 축을 교정해 자기 관절을 오래 사용하는 것이 좋다. 정확한 진단과 맞춤 치료 로드맵을 전문의와 상의하길 권한다”고 말했다.
관련링크
- 이전글대장내시경 검사에 AI 활용했더니…'선종' 더 많이 찾아냈다 25.11.19
- 다음글“뇌졸중 환자 재활치료, 병원 아닌 집에서 받아도 효과적” 25.11.18
댓글목록
등록된 댓글이 없습니다.



